• 康贝佳首页
  • 欢迎来到康贝佳官方网站,专注口腔健康,笑出精彩人生!咨询热线:400-025-0505
  • 关于我们:

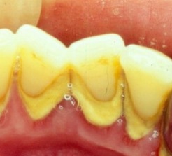
牙结石

牙结石又称牙石,它是由食物残渣、坏死脱落的口腔上皮细胞及唾液中的矿物质钙化后附着在牙齿表面而形成的,呈现出黄色、棕色、或者黑色。

治疗技术:超声波洁牙 | 气动洁牙

适宜人群:牙结石

牙齿根部有黑色结石
随着生活水平不断地提高人们对牙齿的关心也开始越来越多,有一副好的牙齿确实是一件很重要的事情,享受美食是离不开一副好的牙齿的,如果牙 齿早早地脱落吃东西就会变得没有味道。很多网友询问牙齿根部有黑色结石是怎么...[详细]2019-04-11 阅读:
你知道牙结石有什么危害吗?
你知道牙结石有什么危害吗? 牙结石的形成并不是一朝一夕的,主要还是由于日常人们不良的口腔习惯导致,在国外,人们会定期至口腔医院进行口腔检查或是洁牙护理,而在我国,只有遇到口...[详细]2018-04-15 阅读:
预防牙结石的方法有哪些?
预防牙结石的方法有哪些? 由于食物残渣长期在牙齿表面堆积,不及时清理,就容易形成牙结石,影响口腔健康。南京 康贝佳口腔 医生介绍:牙结石是可以预防的,那么预防牙结石有什么方...[详细]2018-04-15 阅读:
牙结石怎么去除?一看你就懂!
【牙结石怎么去除?一看你就懂!】 在我们的生活当中,相信大家对于牙结石也许比较陌生,牙结石其实就是牙齿的一种牙绣渍,一般情况下在它形成之后是非常难去除。那么,难道就真的没有...[详细]2016-12-24 阅读:
  • 14条记录
病症介绍

  牙结石又称牙石,它是由食物残渣、坏死脱落的口腔上皮细胞及唾液中的矿物质钙化后附着在牙齿表面而形成的,呈现出黄色、棕色、或者黑色。

  1.牙结石开始时是软软的,会因逐渐的钙化而变硬并呈现出黄色、棕色、或者黑色。

  2.通常存在于唾液腺开口处的牙齿表面。

病症危害

  1、会不断刺激牙周组织,并且会压迫牙龈,影响血液循环,造成牙周组织的病菌感染,引起牙龈发炎、萎缩,形成牙周袋。

  2、牙周袋形成后会进一步破坏更深的牙周膜,腐蚀和侵害牙槽骨,如此不断地恶性循环,渐渐使牙周支持组织全部破坏殆尽,拔牙也成为必须的选择。

治疗方法

  超声波洁牙

  通过超声波的高频震荡作用,去除牙齿上的牙结石、烟渍和茶斑,可以防止牙龈出血或者牙齿松动的情况,帮助治疗牙周炎等口腔疾病。

注意事项

  洗牙后,牙龈往往比较脆弱,经常处于无知觉状态。这时候请勿惊慌。降低刷牙的力度。

  饭后注意漱口,清洁牙缝间的食物残留(建议使用含氟漱口水,不然对牙齿的抑菌防蛀没有任何效果)。

  牙缝中的残留光靠漱口无法深入洁净,这时候我们可以合理使用牙线。

  早晚刷牙时,可以选择倾斜牙刷或者呈上下浮动刷牙,有助于牙齿中细菌的新陈代谢。

  根据个人牙齿的情况选择牙刷,如果牙齿比较窄小,可以挑选刷毛细软、刷面细长的,防止刷牙时接触牙龈,引起牙龈出血或发炎。

  当然也可以选择声波震动牙刷,这类牙刷的震动比较强,一开始会出现牙龈出血的情况,一段时间后这种情况会消除。

常见问题
活动专区
医院动态
医疗团队

有牙齿困扰 在线预约咨询

QQ咨询
在线咨询

咨询热线:400-025-0505

保健护理导航
热点关注