• 康贝佳首页
  • 欢迎来到康贝佳官方网站,专注口腔健康,笑出精彩人生!咨询热线:400-025-0505
  • 关于我们:

乳牙滞留

乳牙滞留是指继承恒牙已经萌出,未能按时脱落的乳牙。或者恒牙未萌出,保留在恒牙列中的乳牙。

治疗方法:微创拔牙

儿童多生牙一定要拔吗
多生牙是一个很让人头疼的事情,人家孩子的牙齿都长得好好的,而自家孩子却多长了牙,不知道后果是什么,不由得忧心忡忡。多生牙拔不拔?多生牙一定要拔吗?我们请康贝佳口腔医生来解答一下。...[详细]2019-05-09 阅读:
小孩换牙期应多“硬骨头”
7岁的天天从小就有挑食的毛病,她的妈妈林女士为了能让女儿多吃点饭菜和水果,每顿都把食物弄软弄碎,易于晴晴吞咽,如把苹果削成块,胡萝卜榨成汁,玉米剥成粒。有一天,晴晴在刷牙...[详细]2018-07-03 阅读:
哪些牙齿不会换
我们都知道,在儿童时期我们会经历换牙这一特殊阶段,这是每一个人都会有的经历。但是留心观察的朋友就会发现,并不是每一颗牙齿都需要替换,那么, 哪些牙齿不会换呢 ? 正常情况下人...[详细]2018-05-04 阅读:
儿童乳牙迟迟未脱落原因
生活中很多家长都会这样情况,孩子恒牙已萌出,但乳牙却迟迟未脱落,面对这种情况,很多家长变得束手无策,是拔掉乳牙还是保留乳牙呢。南京康贝佳口腔医生提醒您,如果家长遇到这种情...[详细]2018-04-16 阅读:
南京儿童乳牙滞留会引起牙错位
乳牙滞留 是导致恒牙错位萌出的常见原因,但很多家长因孩子不配合治牙,因此让孩子吃点药就算了,这样会好吗? 康贝佳口腔 医师 介绍,乳牙滞留的常见原因是乳牙根呈现不典型的吸收或牙...[详细]2018-04-16 阅读:
幼儿牙菌斑是怎么回事
宝宝的萌萌的表情是父母觉得上天赠与好的礼物,宝宝的牙齿也是父母非常重视的,近听说牙菌斑会危害宝宝的牙齿,赶紧来看一下幼儿的牙菌斑是怎么回事吧。 幼儿牙菌斑是儿童牙齿常...[详细]2018-04-16 阅读:
怎样预防乳牙滞留的发生?
怎样预防乳牙滞留的发生? 儿童在换牙的时候经常出现乳牙滞留的情况,乳牙未能及时脱落会导致继承恒牙萌出时受到阻碍,致使恒牙易位萌出。那么,怎样预防乳牙滞留的产生? 康贝佳口腔...[详细]2018-04-16 阅读:
乳牙滞留的治疗方法
乳牙滞留的治疗方法 儿童乳牙的健康与否对于恒牙的生长是有影响的,儿童乳牙滞留是一种儿童口腔疾病,乳牙滞留应及早去医院治疗,否则会对孩子健康带来危害。那么, 应该怎样治疗乳牙...[详细]2018-02-08 阅读:
儿童乳牙迟迟未脱离的原因
乳牙迟迟未脱离的原因 生活中很多家长都会这样情况,孩子恒牙已萌出,但乳牙却迟迟未脱落,面对这种情况,很多家长变得束手无策,是拔掉乳牙还是保留乳牙呢。口腔医生提醒您,如果家...[详细]2017-04-27 阅读:
什么是乳牙滞留?
什么是乳牙滞留? 有家长发现,孩子在换牙时,恒牙已经萌出,但乳牙却没有及时的脱落,还滞留在口腔内,导致出现双层牙齿的情况,这种可能就是乳牙滞留。那么,到底什么是乳牙滞留?发...[详细]2017-04-27 阅读:
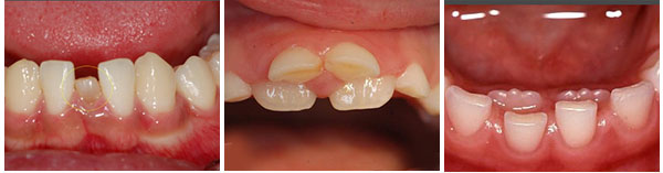
病症介绍

  宝宝一般从6-7岁开始换牙,乳牙逐渐脱落,恒牙相继萌出。恒牙已经萌出,相应位置上的乳牙尚未脱落,叫做“乳牙滞留”,又叫乳牙迟脱。儿童换牙期,乳牙脱落和恒牙萌出关系十分密切。

  乳牙滞留的宝宝常见于混合牙列早期下颌中切牙,恒牙在舌侧萌出,乳牙滞留在唇侧,表现为双排牙现象。其次是第一乳磨牙的残根或残冠滞留于第一前磨牙颊舌侧或近远中。第二乳磨牙滞留,多是恒牙胚先天缺失或埋伏阻生。无继承恒牙的乳牙可发挥咀嚼功能,但难使用终身。4个以上的乳牙滞留称为多发性乳牙滞留,见于颅骨、锁骨发育不全者。
 

病症危害

  1、宝宝乳牙滞留会引起恒牙萌出的方向和位置异常,甚至无法萌出,这对宝宝的颌骨发育是有影响的。

  2、咀嚼率降低则会导致宝宝对食物吸收营养不到位。

  3、恒牙萌出后牙缝变大。口腔卫生环境发生变化会导致龋齿发生。

  4、面容美观和心理发展都会造成不同程度的影响。

治疗方法

  1、继承恒牙已经萌出,滞留的乳牙应该拔除。

  上颌滞留的乳牙要尽早拔除,以免造成恒牙反合。如果已经出现反合现象,一定要密切监测,在前牙萌出后尽早进行矫正。

  下颌滞留乳牙拔除后,长在后面的恒牙会自行调整到正常位置,如果因为拥挤牙齿排列不齐,应该观察,牙齿替换后根据牙列情况择期矫正。

  下颌滞留乳牙由于牙根吸收不足,在拔除的过程中可能会出现牙根断裂现象,由于残留牙根距离继承恒牙牙根较近,因此可以不做处理,残留牙根会自行吸收或随恒牙萌出排出体外。

  2、因先天缺失继承恒牙导致的滞留乳牙可不予处理。但是要密切观察滞留乳牙,积极预防龋齿的发生,尽量延后牙齿脱落时间。如果牙齿脱落,要根据牙齿排列情况进行间隙管理。

  康贝佳采用微创拔牙技术,在局部麻醉,使用微创拔牙器械,减轻对患者牙龈、牙槽骨和邻牙的损伤,具有创伤小、时间短、愈合快等优势。

注意事项

  预防乳牙滞留的需要注意:

  1、纠正孩子不良习惯:如咬舌、咬物、吮指、舔牙等不良习惯,尤其是在换牙期间,松动牙齿可能会造成孩子的不适,家长要告诫孩子不要用手拽、晃牙齿。

  2、定期带孩子到医院检查:如出现乳牙滞留的情况要尽快拔除滞留的乳牙,以免使恒牙萌出位置异常。

  拔除乳牙后需要需要注意:

  1、拔牙后要紧紧咬住医生给垫的消毒棉,1个小时左右。

  2、拔牙后24小时禁止吃热的东西和硬的东西,禁止刷牙。

  3、别用舌头去舔伤口也别用手去触摸。

常见问题
活动专区
医院动态
医疗团队

有牙齿困扰 在线预约咨询

QQ咨询
在线咨询

咨询热线:400-025-0505

儿童齿科导航
热点关注