- 当前位置: 首页 > 四环素牙
- 四环素牙的不同程度治疗
- 来源:康贝佳口腔 发布时间:2017-11-10 13:05
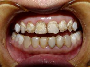
四环素牙是在牙齿牙釉质形成时摄入过多的四环素类药物造成的,四环素牙呈黄色,在阳光照射下则呈现明亮的黄色荧光,以后逐渐由黄色变成棕褐色或深灰色。那么不同程度的四环素牙要怎么治疗呢?下面康贝佳口腔医师就来给大家介绍一下。

1、轻度四环素牙的治疗:对于很轻度的四环素牙,一般不怎么建议市民美容。轻度的四环素牙对外貌的影响不大,如果对外貌的要求比较高,可以选择冷光美白进行牙齿美白。康贝佳口腔使用的冷光美白技术,安全舒适、效果明显。>>>南京牙齿冷光美白价格,直接在线咨询>>>
2、中度四环素牙的治疗:对于中度的四环素牙,如果要求改变自己的牙齿形象,从健康的角度考虑,瓷贴面是个极不错的选择。牙齿瓷贴面是一种覆盖部分牙面的瓷修复体。即在磨损少量牙体,采用粘结技术,在保存活髓、少磨牙的情况下,对牙体表面缺损、着色牙、变色牙和畸形牙等用瓷修复材料粘结覆盖其表面,以恢复牙体的正常形态和改善其色泽。
3、重度四环素牙的治疗:对于重度四环素牙,瓷贴面则相对难以达到理想的遮色效果,而是重度四环素牙理想的选择。美牙冠,为近年由欧美引入的新兴美齿技术。针对成人,对龅牙、排列歪斜牙、畸形牙以及色素牙,可快速矫正修复,无需拔牙,全程无痛。>>>美牙冠多少钱?在线咨询医师>>>
以上就是康贝佳口腔医师为您介绍的四环素牙的不同程度治疗的介绍,不同程度的四环素牙治疗应该选择适合的治疗方法。
如果您还有其他的疑问,可以通过以下两种方式联系我们:
1、点击网站的在线咨询,咨询预约;
2、拨打康贝佳爱牙热线:400-025-0505。



























