- 当前位置: 首页 > 牙齿矫正
- 地包天去矫正会有效果吗?
- 来源:康贝佳口腔 发布时间:2018-06-27 09:28
口腔牙齿地包天是种常见的牙齿畸形,“地包天”又被称为前牙反合。口腔地包天对于患者的心理成长具有较大的影响,医生强调牙齿地包天并不随着孩子的成长或是换牙实现自我矫正,那么,地包天去矫正会有效果吗?下面我们来看看南京康贝佳医生的介绍吧。

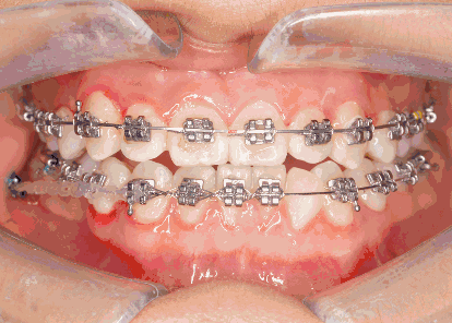
地包天去矫正会有效果吗
地包天矫正有效果:
乳牙期不矫正,就会丧失矫治时机,替牙之后般是继续形成垣牙的反合,且反合面形随着年龄的增长,使畸形愈加严重。因此从预防的角度讲,反合(地包天)应尽早进行牙齿矫正。临床上也有这样的例子,乳牙反合矫正之后,待恒牙萌出之后又出现了前牙反合,这时不得不再次进行矫治。但应该强调的是,这类患者虽然前牙呈反合关系,但基本上属于牙性反合,而不是骨性反合,矫治起来,相对比较容易。而地包天矫正有效果。
如在生长发育期不纠正,长至成人后。虽经努力,可以纠正牙齿的反合关系,但严重的骨性畸形必须经手术才能改正。前牙反合可发生在乳牙期、混合牙列期和恒牙期。般而言,矫治应越早越好。
乳牙期不矫正,就会丧失矫治时机,替牙之后般是继续形成垣牙的反合,且反合面形随着年龄的增长,使畸形愈加严重。如在生长发育期不纠正,长至成人后。虽经努力,可以纠正牙齿的反合关系,但严重的骨性畸形必须经手术才能改正。因此从预防的角度讲,反合(地包天)应尽早进行矫治。
不过也有这样的例子,乳牙反合矫正之后,待恒牙萌出之后又出现了前牙反合,这时不得不再次进行矫治。但应该强调的是,这类患者虽然前牙呈反合关系,但基本上属于牙性反合,而不是骨性反合,矫治起来,相对比较容易。
- 上一篇:南京整牙有年龄限制吗?
- 下一篇:牙齿矫正后要注意哪些?


























