• 康贝佳首页
  • 欢迎来到康贝佳官方网站,专注口腔健康,笑出精彩人生!咨询热线:400-025-0505
  • 关于我们:

当前位置: 首页 > 牙齿治疗

牙齿治疗

Dental implants

咨询电话:
400-025-0505

QQ咨询 在线咨询
南京补牙多少钱一颗牙
来源:康贝佳口腔 发布时间:2019-05-28 14:54
  牙齿对于我们来说,可谓是不可或缺的存在,但在成长过程中,不免会出现需要补牙的情况。这种时候 ,大家都会关注的问题就有补牙多少钱这样一个现实问题了,毕竟大家都知道关于牙齿的问题,一般费 用都不低,所以补牙前,肯定是要事先了解一下补牙多少钱。
 
 
  南京补牙多少钱一颗牙
 
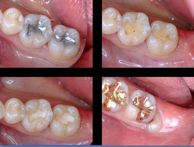
  而实际上,补牙多少钱受诸多不确定因素影响,所以各个价位都是有的,比如常见的补牙都是采用复合 树脂材料的,这种材料的话,补牙多少钱,也有分国产跟进口的,一般国产的几十块钱就可以了,进口 的则要一百多块。但补牙也有分很多种情况的。
 
  补牙用什么材料最好
 
  康贝佳口腔专家表示:所以不同情况下的补牙多少钱是不一样的。除了上面说到的这种普通情况外,还有一种就是牙齿需要先 下药消炎后才能补牙,这种的话,加上补牙前期的药费,总体来说补牙多少钱,费用是要再增加三四十 块钱的。另外还有一种就是伤及到牙髓的牙齿。
 
  就需要先做根管治疗,根管治疗的费用是要一两百块钱的,好了之后再进行补牙,如果选择的是国产的 复合树脂,那么总费用也要将近两百或超过两百块了。一般情况下,补牙是按一颗来算的,但也有人表 示一些机构是按牙齿上的洞数来收费的。
 
  一个洞的费用是80-120元,总之关于补牙多少钱、怎么收费,具体的还是要视各个机构的规定。事实上 ,不管补牙多少钱,当牙齿出现问题了就要及早去看,不然等到情况变严重了,那么除了更痛苦之外, 所要花的费用也会随之叠加,所以早治疗早好。