• 康贝佳首页
  • 欢迎来到康贝佳官方网站,专注口腔健康,笑出精彩人生!咨询热线:400-025-0505
  • 关于我们:

当前位置: 首页 > 牙齿治疗

牙齿治疗

Dental implants

咨询电话:
400-025-0505

QQ咨询 在线咨询
南京蛀牙补一颗牙多少钱
来源:康贝佳口腔 发布时间:2019-07-17 16:52
  补牙是日常生活中常见的牙齿修复手段,我们牙齿龋坏、牙齿损伤、牙齿缺了一小块都可以通过补牙的方法来修复,而且不会损伤我们的牙根,价格还很便 宜。那么南京蛀牙补一颗牙多少钱呢?
 
南京蛀牙补一颗牙多少钱
 
  康贝佳口腔医生介绍,补牙的价格是多种多样的,它受很多因素影响,其中材料就种目繁多,一般来说一百多到几百的都有。具体用什么材料还要看你 牙齿损伤的程度。
 
  【影响补牙价格的因素】
 
  一、牙齿损坏的程度
 
  对于不同的人牙齿损坏程度不同,所采取的诊疗方法不同,当然补牙价格有所区别,如轻微缺损几十块钱可能就能搞定。但如果是较为严重的损伤,则 可能需要好几百才修补好。如果已经是损伤到牙髓的损伤,则还需要根管治疗。那个价格更高。
 
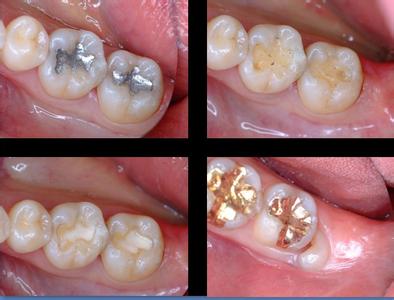
  二、补牙材料
 
  补牙的材料是多种多样的,常用的补牙材料有复合树脂填充材料、瓷粉、银汞合金材料等,其中复合树脂填充材料为常见。
 
  三、选择的医院
 
  一般专业的医院拥有先进的设备和专业的消毒中心,能保障补牙的安全和效果,价格相对一般的小门诊贵点,但效果和安全是一般的小诊所无法保障的 。
 
  【补牙后注意事项】
 
  一、补牙后龋齿虽然得以控制,但如不注意口腔的清洁,仍可引发龋病的发生。所以,口腔的卫生护理极为关键,日常生活中应注意早晚刷牙,饭后漱 口,做好口腔的卫生保健,定期进行口腔检查。
 
  二、树脂补牙后的当天,不可刷牙,以防触碰引起补牙材料的脱落。
 
  三、如有轻微的疼痛及不适是正常的,过一段时间方可适应,而如果补牙后疼痛非但不减轻,反而进一步加重,则应及时让主治进行进一步的调整修复 。
 
  四、若龋洞较大,树脂补牙后,牙体修复后往往由于牙体本身抗力不足,在咀嚼时易发生牙折,为此,这类牙齿树脂补牙后应根据的建议及时做患牙的 壳冠保护。
 
  五、补牙后牙体的外形得以修复,但牙体的咀嚼性能受则到一定的破坏,因此补牙后不宜咀嚼坚硬的食物,且补牙后初期不可用补牙的一侧进行咀嚼。
 
  六、补牙后的牙体,其咀嚼功能较真牙差,因此补牙后应注意口腔的防护,切不可咬过硬的食物。
 
  七、补牙材料的凝固需要一定的时间,因此补牙后2小时内应忌食,补牙后2小时,可适当吃些清淡、温和的流食及半流食;如牛奶、面包、粥及汤类食 食。
 
  以上就是康贝佳口腔关于“南京蛀牙补一颗牙多少钱”的介绍了,如果你还有疑问,欢迎咨询我们,我院专家将真诚为您提供优质的服务。