- 当前位置: 首页 > 牙齿治疗
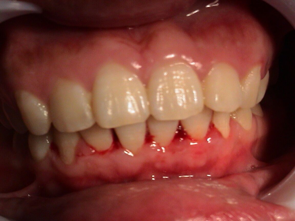
- 牙龈出血不止是怎么回事?
- 来源:康贝佳口腔 发布时间:2018-06-19 10:32
如果遇到牙龈出血不止怎么办?牙齿的牙龈出血是有炎症,如果有牙结石不及时清除的话就会引起牙龈发炎、出血。那么牙龈出血不止怎么办呢?很多人对于牙龈出血不止怎么办不是很了解。针对牙龈出血不止怎么办这个问题,下面就由康贝佳口腔医院的医生为大家介绍下牙龈出血不止怎么办。

牙龈出血不止是怎么回事呢
牙龈出血不止的原因很多,可以将牙龈出血的原因分为两个方面:方面是口腔局部因素引起的牙龈出血,如牙龈炎、牙龈瘤等。另方面是全身性疾病表现的牙龈出血,如贫血、白血病血友病等。
1、口腔局部因素引起: 多是由于口腔不清洁,食物残渣、牙垢、牙石经常堆积在牙体周围,口腔内的细菌在此大量的进行繁殖,导致牙龈炎而发生牙龈出血,这种原因引起的牙龈出血,常常伴有口臭。
2、缺乏维C: 要多食用富含维生素C的食物,如水果蔬菜等。
3、其他牙龈疾病引起: 由于血管异常丰富,在嚼东西时,瘤体因摩擦而溃破,也可引起出血。其他如刷牙方法不正确、残根、残冠、制作不良的牙套、不良充填物等锐利的边缘刺激牙龈肿胀发炎均可引起牙龈出血。
4、牙周炎引起: 要在医生指导下服用消炎药,并遵医嘱复诊,不能自己随便停。
5、假牙/牙齿松动引起: 修缮或重新调整不适合的假牙,固定松动的牙齿,调整各个牙齿的咬合关系。
针对不同的原因加以防治如牙龈炎、牙周病等的牙龈出血。勤于刷牙漱口,平时多注意口腔卫生养成良好的口腔卫生习惯。这样有利于保护口腔的健康。
康贝佳口腔温馨提示: 以上就是牙龈出血不止的些常见的原因,如果你遇到了类似的情况,定要多加注意,必要时还需要到医院进行检查。多注意平时的饮食和休息。不仅是对于口腔健康的保护,更能保护您的身体健康!
- 上一篇:牙周炎是怎么产生的?
- 下一篇:牙齿刷牙老出血是怎么回事?


























